Soft-Tissue Thickness Augmentation

Why is it worthwhile to thicken the soft tissue around dental implants or natural teeth or under bridge restorations? The red-white esthetics and the expectations of the patient often play a role.1-4 However, studies also show that patients with a thin mucosal biotype are more susceptible to functional and esthetic problems.5
To date, subepithelial connective tissue is considered the gold standard for the augmentation of soft tissue.6,7 Yet, anatomical factors such as nerves and blood vessels in the palate restrict the dimensions of the grafts8-10. In addition, graft harvesting may cause bleeding, pain, swelling, and occasionally also numbness or infections.11-14
Soft tissue thickening with Geistlich Fibro-Gide® has been investigated in several pre-clinical and clinical trials. The studies showed comparable results to connective tissue grafts in terms of change in soft tissue volume over time.15-18 Geistlich Fibro-Gide® has been proven to provide a stable augmented soft tissue both in terms of quality and quantity with the additional benefits of eliminating the donor site, and lower patient pain perception when compared to CTG.15-18
References:
- Studer SP. et al.: J Prosthet Dent 2000; 83(4):402-11. (clinical study)
- Kinsel RP, Capoferri D, et al. : Pract Proced Aesthet Dent 2008; 20(4): 231-36. (clinical report)
- Schneider D, et al.: Clin Oral Implants Res 2011; 22(1): 28-37. (clinical study)
- De Bruyckere T, et al. : J Clin Periodontol 2015; 42(9): 876-82. (clinical study)
- Puisys A, Linkevicius T: Clin Oral Implants Res 2015; 26(2): 123-29. (clinical study)
- Thoma DS, et al.: Clin Oral Implants Res 2009; 20: 146-65. (systematic review)
- Thoma DS, et al.: J Clin Periodontol 2014; 41 Suppl 15: S77-91. (systematic review)
- Fu JH, et al.: J Periodontol 2011; 82: 1000-06. (cadaver study)
- Kim DH, et al.: Clin Anat 2014; 27: 578-84. (cadaver study)
- Yu SK, et al.: J Clin Periodontol 2014 ; 41(27): 908-13. (cadaver study)
- Griffin TJ, et al.: J Periodontol 2006; 77: 2070-79. (clinical study)
- Soileau KM, et al.: J Periodontol 2006; 77: 1267-73. (clinical study)
- Zucchelli G, et al.: J Clin Periodontol 2010; 37: 728-38. (clinical study)
- Cairo F, et al.: J Clin Periodontol 2012; 39: 760-68. (clinical study)
- Zeltner M, et al. J Clin Periodontol 2017; 44(4): 446-53. (clinical study)
- Thoma DS, et al. J Clin Periodontol 2016; 43(10): 874-85. (clinical study)
- Huber S, et al.: J Clin Periodontol 2018; 45(4): 504-12. (clinical study)
- Thoma DS, et al.: J Clin Periodontol. 2020 Feb 24. doi: 10.1111/jcpe.13271. [Epub ahead of print]. (clinical study)
Clinical Cases
Staged approach after implant placement
Clinical Challenge
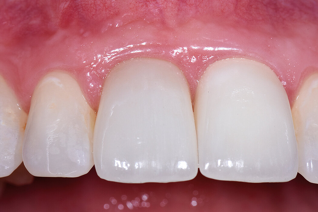
Insufficient Soft-Tissue Thickness in a Single Tooth Gap in the Anterior Maxilla
Aim / Approach
Gain in soft-tissue around a single implant in the esthetic area with Geistlich Fibro-Gide®.
Conclusion
The use of Geistlich Fibro-Gide® gave successfully esthetic results, providing the missing thickness of soft-tissue.
Staged approach after implant placement
Clinical Challenge
Insufficient Soft-Tissue Thickness Extended Gap in the Posterior Mandible
“Geistlich Fibro-Gide® offers promising new avenues in conservative soft-tissue augmentation of edentulous ridges and gingiva around implants and seems to be an alternative to autologous tissue grafts.”
Aim / Approach
Increasing the thickness of soft-tissue around dental implants in an edentulous ridge with Geistlich Fibro-Gide®.
Conclusion
Geistlich Fibro-Gide® reduces morbidity, especially in larger cases where bigger grafts are needed.
Simultaneous approach with guided bone regeneration (GBR)
Clinical challenge
Insufficient Soft-Tissue Thickness Extended Gap in the Posterior Mandible
“Geistlich Fibro-Gide® is one of the best innovations for gaining soft-tissue thickness.”
Aim / Approach
Increasing the thickness of soft-tissue around dental implants with Geistlich Fibro-Gide® in the posterior area of the mandible to support protection and to restore function.
Conclusion
Geistlich Fibro-Gide® can be used as an alternative to connective tissue grafts (CTG) to signifi cantly increase the soft-tissue thickness around dental implants.
Simultaneous approach with guided bone regeneration (GBR)
Clinical challenge
Guided Bone Regeneration With Simultaneous Soft-Tissue Augmentation in the Anterior Maxilla
“Geistlich Fibro-Gide® shows an uneventful tissue integration with simultaneous GBR procedures in a preliminary human study after two months of healing.”
Aim / Approach
Guided Bone Regeneration (GBR) procedure with autologous bone chips, Geistlich Bio-Oss® and Geistlich Bio-Gide® simultaneously with soft-tissue augmentation using Geistlich Fibro-Gide®.
Conclusion
Guided Bone Regeneration (GBR) can be performed simultaneously with soft-tissue augmentation with Geistlich Fibro-Gide®.
Staged aproach after implant placement
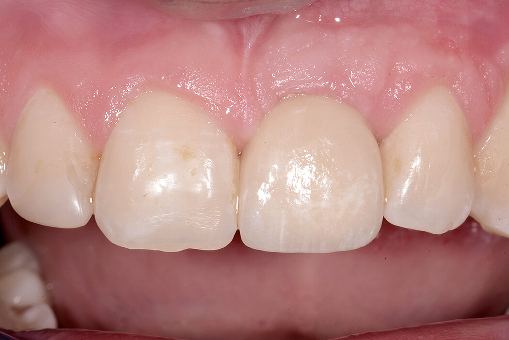
Clinical challenge
Insufficient Soft-Tissue Thickness in a Single Tooth Gap in the Anterior Maxilla
“Geistlich Fibro-Gide® is one of the major innovations in regenerative dentistry in the last 20 years.”
Aim / Approach
Gain in soft-tissue thickness in the esthetic area with Geistlich Fibro-Gide®.
Conclusion
After 6 months, the final restorations were placed. The natural look of the augmented soft-tissue can be appreciated, and no implant translucency is visible.