Immediate implant placement

Placing implants immediately after tooth extraction can save time, reduce the number of surgical procedures and thereby benefit patients.1 Nevertheless, immediate implant placement should only be carried out by experienced surgeons and after strict case selection. Careful planning is needed to avoid treatment failure and esthetic complications.2-4
In cases of immediate implant placement, filling the gap between the implant and the buccal bone plate enhances esthetic outcome5.
References
- Chen ST, et al.: Int J Oral Maxillofac Implants 2009; 24 Suppl: 272-78. (Consenus Statement)
- Koh RU, et al.: Implant Dent 2010, 19(2): 98-108. (Review)
- Evans CDJ, Chen ST: Clin Oral Implants Res 2008; 19: 73-80. (Retrospective review)
- Hämmerle C, et al.: Clin Oral Implants Res 2012; 23 Suppl 5: 80-82. (Osteology Consensus Report)
- Cardaropoli D, et al.: Int J Periodontics Restorative Dent 2014; 34(5): 631-37. (Clinical study)
Clinical Cases
Immediate implant placement with minor bony defect
Clinical challenge
Geistlich Bio-Oss® Collagen is effective to offset the natural alveolar contraction that naturally occurs following tooth extraction, that could hamper aesthetics and lead to soft tissue instability.
Aim / Approach
Replace a hopeless central incisor with a horizontal fracture of the tooth root and buccal bone fenestration..
Conclusion
Ridge Preservation techniques are effective in minimizing volume loss and achieving a nice emergence profile 6 months after simultaneous grafting and immediate implant placement.


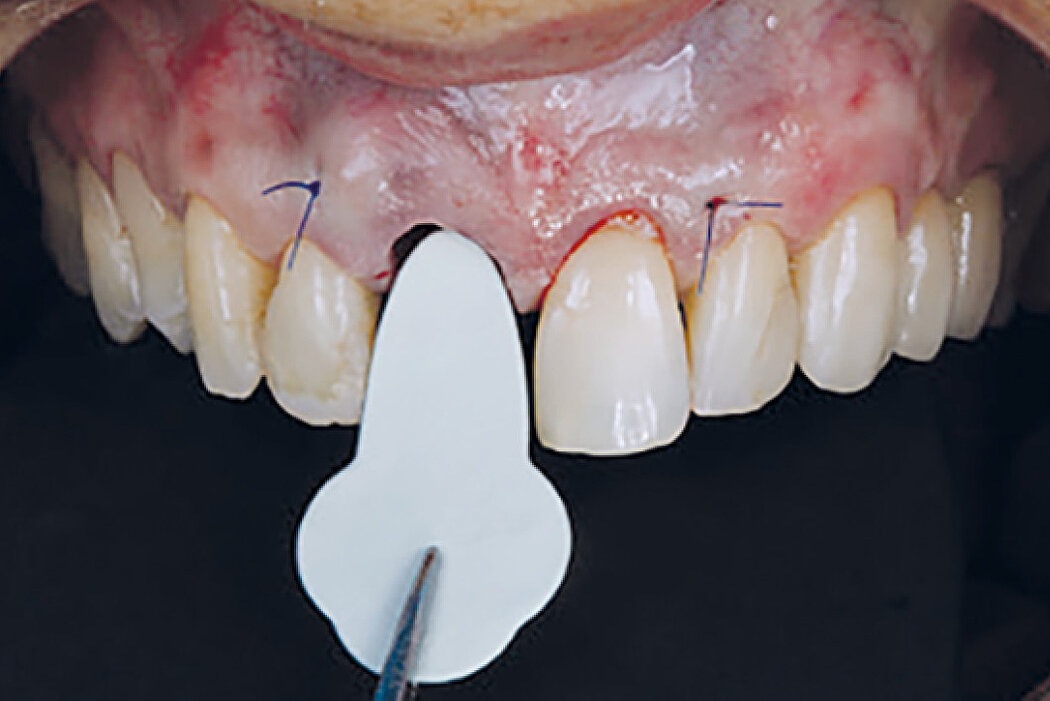
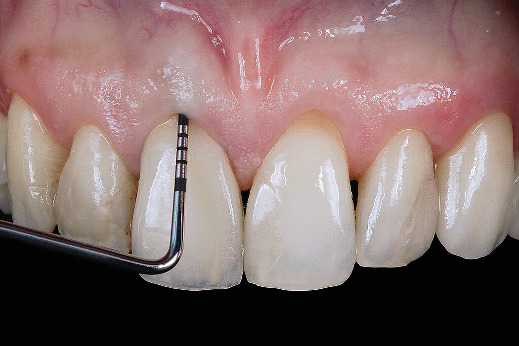
Immediate implant placement with fill the gap
Clinical challenge
Immediate implant placement in order to reduce the treatment period for the patient.
Aim / Approach
Preservation of the vestibular bone volume and preservation of the gingival architecture.
Conclusion
The technique minimises the treatment time. The treatment maintains the archetype of the soft and hard tissues.

