No implant placement

Bridge Restoration
When placing a prosthetic bridge after tooth extraction, Ridge Preservation with Geistlich biomaterials helps to preserve the bone volume and achieve optimal soft tissue esthetics under the pontic.1
References:
- Schlee M, et al.: Eur J Oral Implantol 2009; 2(3): 209-17 (clinical study)
Clinical Cases
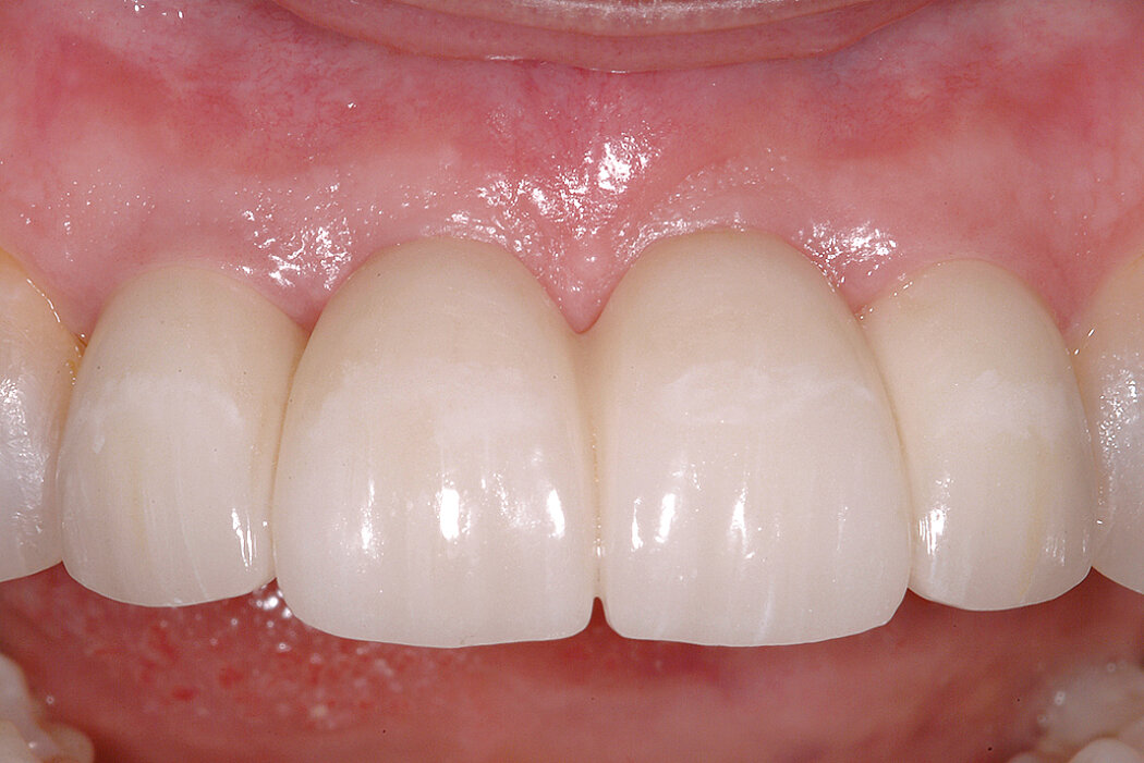
Ridge Preservation for implant supported bridge
Clinical challenge
This treatment is ideal for extraction sockets to preserve esthetic contours when there are limited bony defects.
Aim / Approach
Maintain alveolar contour, which is a combination of hard and soft tissue under pontics.
Conclusion
Geistlich Mucograft® prevents particulate graft from leaking out of the socket before being incorporated into healed tissue. Alveolar contour was largely maintained with Geistlich Mucograft® and Geistlich Bio-Oss®.


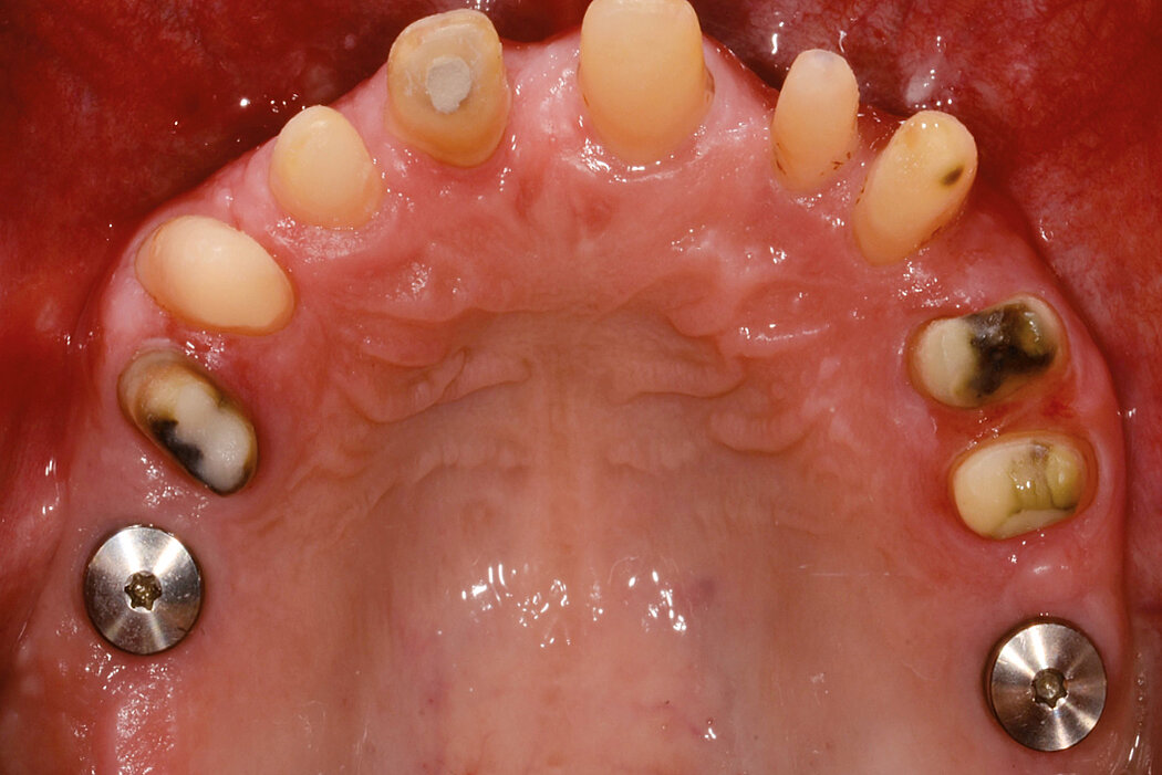
Ridge Preservation in multiple extraction sockets
Clinical challenge
In complex cases, I don’t want to experiment with materials. So I took here the proven Geistlich biomaterials.
Aim / Approach
Ridge profile maintenance under full arch bridge. Flapless procedure.
Conclusion
Good and quick soft-tissue healing during the early healing phase. Bone volume has been largely preserved with a minimally invasive approach.


Ridge Preservation for preserving the red white esthetics for late implant placement (open-healing approach)
Clinical challenge
Preservation of red-white esthetics by alveolar Ridge Preservation measures for a late implantation.
Aim / Approach
Augment the bone tissue and preserve the soft tissue for implantation at a later point in time. The goal is to attain an appealing esthetic result for the mid-term temporary reconstruction.
Conclusion
Minimal horizontal bone loss and widening of the keratinized gingiva thanks to Ridge Preservation with Geistlich Bio-Oss® Collagen and Geistlich Bio-Gide® Shape. On the regenerated side 3 months postoperative the red-white esthetics are just as good as on the natural tooth side.

